Comm Eye Health Vol. 26 No. 82 2013 pp 30 - 31. Published online 05 August 2013.
At a glance: the core neglected tropical diseases
Related content
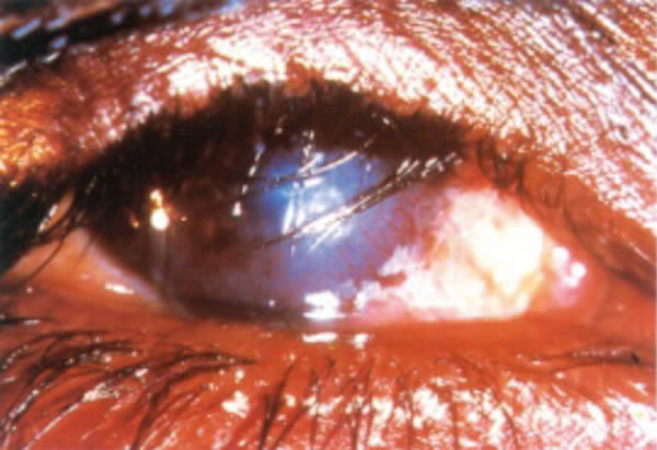
Trachoma
Where
- Africa
- Latin America
- Yemen
- China
- India
- Australia
- South-East Asia
- Pacific Islands
(see www.trachomaatlas.org)
How
- Discharge from infected eyes spreads via fingers, fomites and eye-seeking flies (especially Musca sorbens)

Who
- Pre-school-age children have the highest prevalence of active trachoma. The prevalence of blindness from trachoma increases with age
What
- Inflammation of the conjunctiva (active trachoma)
- Conjunctival scarring
- Trichiasis
- Corneal opacification
Test
- Clinical diagnosis
Treat
Individual:
- Tetracycline eye ointment twice daily for 6 weeks, or single dose azithromycin, 20mg/kg (maximum 1g), for active trachoma
- Surgery for trichiasis
Population:
- SAFE strategy
Onchocerciasis
Where
- Africa
- Latin America
- Yemen

How
- Acquired by the bite of an infected blackfly (Simulium sp.)
Who
- People living near rivers where blackflies breed
What
- Nodules under the skin
- Pruritus
- Thickening of skin or loss of skin pigment
- Punctate keratitis
- Sclerosing keratitis
- Uveitis
- Chorioretinitis
- Optic atrophy
Test
- Skin snip
- Slitlamp examination of eye
Treat
Individual:
- Ivermectin 150µg/kg once a month for 3 months
Population:
- Mass distribution of ivermectin
Soil-transmitted helminths
Where
- Worldwide
(see www.thiswormyworld.org)

How
- Eggs are passed out in faeces and then swallowed by another host (Ascaris, Trichuris) or develop into infective larvae and penetrate intact skin (hookworm)
Who
- People living in communities with poor access to water and sanitation
- People who walk barefoot are at risk of hookworm infection
What
- Often asymptomatic
- May contribute to anaemia leading to fatigue and lethargy
Test
- Stool microscopy for eggs
Treat
Individual:
- Single dose albendazole 400mg
Population:
- Mass distribution of albendazole or mebendazole.
- Improved access to safe methods for disposal of human faeces
Lymphatic filariasis
Where
- Africa,
- Asia
- Latin America
- Pacific Islands
(see www.thiswormyworld.org)
How
- Acquired by the bite of infected mosquitoes
Who
- Children aquire the infection, but sequelae tend to occur in adults

What
- Often asymptomatic
- Enlargement of the limbs, genitals or breasts, with secondary skin changes
Test
- Examination of night blood smear for microfilariae
Treat
Individual:
- Albendazole 400mg for 21 days
- Washing of swollen parts to reduce risk of secondary infection and progression of elephantiasis
Population:
- Mass distribution of DEC+albendazole, or (if onchocerciasis co-endemic) ivermectin+ albendazole
Schistosomiasis
Where
- Africa
- Asia
- Latin America
(see www.thiswormyworld.org)
How
- Acquired by contact with standing fresh water (e.g. lakes) in which there are infected snails
Who
- Children and adults who play, work or undertake chores on the edge of lakes

What
- Acute infection: fever, itchy rash
- Chronic infection: often asymptomatic; haematuria, renal failure, bladder cancer (urinary schistosomiasis); liver failure (intestinal schistosomiasis)
Test
- Urine/stool microscopy for eggs
Treat
Individual:
- Two doses of praziquantel 20mg/kg taken 6 hours apart after food
Population:
- Mass distribution of praziquantel
- Improved access to safe methods for disposal of human faeces
- Education
This poster is also available to download from our Useful resources as a high resolution A3 size PDF

