Conjunctivitis: diagnosis and management
Related content
Introduction
A healthy conjunctiva is necessary for the maintenance of a healthy cornea and thus the visual acuity of the eye. The conjunctiva contributes to the tear film which has three layers:
(Inner) mucous – adherence to the cornea (from the conjunctiva)
(Middle) aqueous – wetting agent (from the lacrimal glands)
(Outer) oil – prevention of evaporation (Meibomian and Zeis glands)
Infections of the conjunctiva can spread to the cornea and can cause a perforation, e.g., gonococcal infection. Allergic conjunctivitis or limbal catarrh can spread over the cornea. ‘Cobblestones’ form under the lid on the tarsal conjunctiva, and can cause corneal ulcers. Chemical injury to the limbal area can destroy the stem cells that are responsible for the re-epithelialization of the cornea. Dryness will damage the surface of the cornea.


Diagnosis and management
Conjunctivitis may be
- infective-bacterial, viral or chlamydial
- allergic
Other rarer causes such as molluscum contagiosum, Parinaud’s oculoglandular conjunctivitis or phlyctenular conjunctivitis will not be discussed in this paper.
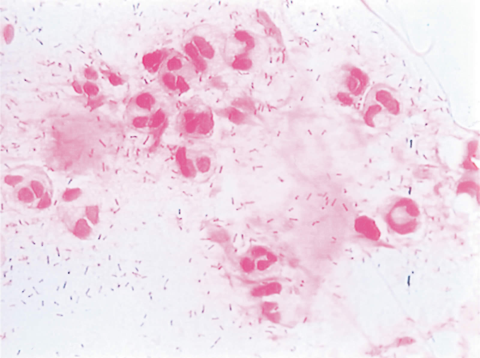
Bacterial conjunctivitis
Symptoms and signs: red eyes, discharge of pus, pain.
It is usually bilateral. It may start in one eye and later spread to the other.
The common organisms are the Staphylococcus aureus, Staphylococcus epidermidis, Group A Streptococcus and Streptococcus pneumoniae. Other organisms are Haemophilus influenzae, Pseudomonas and Escherichia coli.1 Moraxella lacunata causes an angular conjunctivitis with a whitish discharge at the outer canthus. The spectrum of organisms causing conjunctivitis varies around the world.
Bacterial infection of the conjunctival sac can be secondary to discharge resulting from a foreign body, dry eye, trichiasis, or lacrimal mucocele. It is necessary to examine the lid margins, evert the upper lid, and look for discharge from the lacrimal puncta.
To make a specific diagnosis of the organism involved, a culture should be taken. In most instances the disease will respond if the secondary causes are treated and a broad-spectrum antibiotic is used. Eye drops are more practical than ointments as vision is not blurred with drops. They can be easily and frequently applied. However, most primary clinics will have tetracycline eye ointment as their ophthalmic antibiotic, so this should be used. Chloramphenicol and gentamicin are both broad spectrum antibiotics and often available. Initially the drops should be instilled every 10 minutes until the infection is under control. The eye should not be padded. Frequent eyelid cleaning is necessary.
Viral conjunctivitis
Symptoms and signs: watery discharge, red eye, itch.
Epidemic keratoconjunctivitis, often due to type 8 adenovirus, may have a follicular reaction of the tarsal conjunctiva. The pre-auricular lymph nodes may be enlarged.
Epidemic (acute) haemorrhagic conjunctivitis was first reported in West Africa in the 1960s and is usually caused by enterovirus 70. Small subconjunctival haemorrhages are characteristic of this highly infective eye inflammation which often lasts for a only few days.
Viral conjunctivitis is a self-limiting disease and does not require antibiotic treatment unless a secondary bacterial infection occurs. Cold compresses will help the discomfort, but usually the patient will have to let the disease run its course. Antivirals, e.g., acyclovir, are not indicated.
Allergic (vernal) conjunctivitis
Symptoms and signs: red eye, excessive lacrimation, itch.
Allergic conjunctivitis is a significant and frustrating part of the work in an eye clinic. Geographical, genetic and environmental factors are influential in this disease.
There is pigmentation of the conjunctiva, cobblestones of the tarsal conjunctiva and infiltrates at the limbus (corneo-scleral margin). The whole cornea can be covered with infiltrates. Mucus builds up in the tear film. The patient may have other allergies such as rhinitis. Keratoconus is another complication associated with vernal conjunctivitis.
Most cases are mild, the patient needs reassurance but no medication. A few patients will develop serious problems that will need attention, possibly for years. The clinician will have to be supportive to the patient until the disease runs its course. It can cause a child to miss long periods at school but tends to burn out in early adult life.
There is no ideal treatment and some drugs used are harmful. Cold compresses can help with mild symptoms. Astringent drops, e.g., zinc sulphate, will not cure the problem but may relieve symptoms.
Tropical steroids such as prednisolone eye drops are frequently used and although complications are uncommon it is vital to be aware of them. For example, corneal ulcers can be made worse, particularly herpes simplex (dendritic ulcers). Vernal catarrah causes corneal ‘shield’ ulcers, which can become secondarily infected and made worse by steroids. Cataract and raised intraocular pressure leading to glaucoma are also complications of long term steroids. However, in severe cases of vernal conjunctivitis systemic steroids may be needed.
Other drops deal with the allergic response at different parts of the immune cascade. Antihistamines are only partially effective. Mast cell stabilisers2 such as cromolyn sodium 4% and more recently lodoxamide 0.1% are effective if used continuously for many months. These drugs are safe but expensive. Cromolyn powder is available for local production of eye drops. Sodium cromoglycate 2% (Opticrom) may also be available.
Surgical intervention by cryotherapy and scraping of cobblestones is not effective. Mucous membrane graft to the upper lid tarsal conjunctiva can be useful.
Prevention of conjunctivitis
Prevention of infective conjunctivitis relies primarily on good personal hygiene.
- Bacterial conjunctivitis is uncommon but can be spread by the hands or from upper respiratory tract infections.
Gonnoccal infection is transmitted from the genital tract or urine to the eye by hands. This is a serious breach of normal hygiene.
Ophthalmia neonatorum can be prevented by the use of povidone iodine drops, tetracycline eye ointment or other antiseptics or antibiotics at birth. - Viral conjunctivitis, in particular adenovirus, can sweep through a community or an institution such as a school very quickly. This is highly infectious and needs to be controlled by the enforcement of strict hygiene standards –
towels, face cloths, hands and applanation tonometers are some examples of how this can easily be transmitted. - Prevention of allergic conjunctivitis is not possible unless the patient is able to change his or her environment or job or identify the allergen causing the allergy and remove it, e.g., pollen, animal fur. Drugs can cause an allergy that is reversed by stopping the drug. Atropine, neomycin and eye drop preservatives are particularly common causes of such drug reactions.
Summary
Diseases of the conjunctiva are diverse and need proper diagnosis, treatment and appropriate preventive measures.
Conjunctivitis: bacterial, viral and allergic
| Type | Symptoms and Signs | Management | Prevention |
|---|---|---|---|
| Bacterial Conjunctivitis |
|
|
|
| Viral Conjunctivitis |
|
|
|
| Allergic Conjunctivitis |
|
|
|
References
1 Sandford Smith J. Eye Diseases in Hot Climates. Second Edition, Butterworths, 1990
2 Caldwell DR, Verin Hartwick-Young R, Meyer SM, Drake MW. Efficacy and safety of Lodoxamide 0.1% vs. Cromolyn Sodium 4% in patients with vernal keratoconjunctivitis. Amer J Ophthalmol 1992: 113: 632-37

