Comm Eye Health Vol. 18 No. 55 2005 pp 110. Published online 01 October 2005.
How to evert the upper eyelid and remove a sub-tarsal foreign body
Related content
Remember – wash your hands before and after performing all procedures!
Indications
- To examine the upper tarsal conjunctiva
- To remove a foreign body (FB) and so relieve pain
- To prevent a corneal abrasion and limit further damage.
Never evert the upper eye lid if a penetrating injury or corneal thinning (e.g., due to ulceration) is suspected.
You will need
- Cotton buds, paper clip or small blunt object, e.g., pen top
- Magnification
- Sterile needle
- Local anaesthetic drops
- Fluorescein strips
- Saline or cooled boiled water
- Prescribed antibiotic eye drops or ointment
- Tape, two eye pads and bandage.
Preparation
- Explain the procedure, advising the patient that he/she may experience a brief increase in discomfort but that it is important to relax and keep still
- Reassure and encourage him/her by stressing that relief should be felt immediately after the FB is removed.


Method
- Instil a drop of local anaesthetic and fluorescein dye
- Ask the patient to look down
- With one hand, hold the eyelashes of the upper eyelid between thumb and index finger
- With the other hand, place a cotton bud (or paper clip or other small blunt object) midway from the eyelid margin
- Turn the eyelid against steady and gentle pressure on the upper eyelid (picture 1)
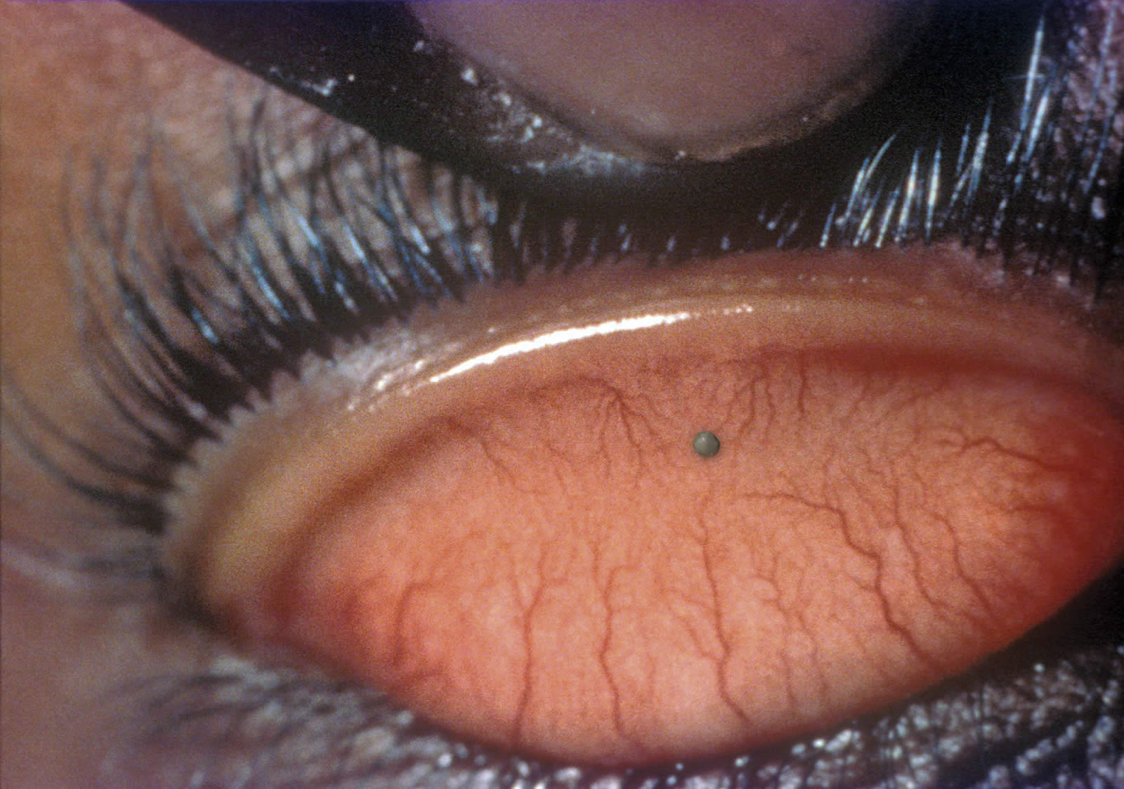
- The eyelid will evert to reveal the upper tarsal conjunctiva. The FB may be large enough to be seen easily (picture 2)
- With a gentle upward movement, remove the FB using a moistened cotton bud. It may be necessary to use a needle if it has embedded
- If the FB cannot be seen, examine the eye again using a torch and magnification to ensure it is not missed
- On completion of the sub-tarsal examination and removal of FB, ask the patient to look up and the eyelid will return to its normal position
- Examine the rest of the eye for further particles
- If a corneal abrasion has resulted, instil antibiotic eye drops or ointment and apply a firm eye dressing, using two pads (a bandage may be added), for 24 hours (pictures 3 and 4).
Review the eye after 24 hours or earlier if pain persists.
Finally
- Wipe needle with a swab to confirm removal of FB and show it to the patient – this will reassure him/her it has been removed
- Dispose of needle carefully in an appropriate container.



